Clínica dental en Oviedo
Innovación y confianza en tu salud bucodental
En Oviedo, la Clínica Dental Feito Bárcena combina tecnología avanzada, trato cercano y experiencia profesional para ofrecer soluciones personalizadas en estética, ortodoncia e implantología.
LLÁMANOS
985 271 415
TRATAMIENTOS
Servicios dentales a tu medida
En Clínica Dental Feito Bárcena ponemos a tu disposición tratamientos completos y personalizados para garantizar tu mejor salud y estética bucodental.
Implantes
Te ofrecemos los últimos avances tecnológicos en implantología.
Saber más
Estética dental
En Feito Bárcena, somos expertos en el diseño de sonrisas.
Saber más
Ortodoncia invisible
Estamos acreditados con nivel Diamond en la técnica INVISALIGN.
Saber más
¿POR QUÉ ELEGIRNOS?
La mejor atención para tu salud dental
En Clínica Dental Feito Bárcena unimos experiencia, cercanía y calidad para ofrecerte un cuidado bucodental en el que puedas confiar.
Certificación de calidad según la norma UNE 179001.
Trato humano y personalizado en cada visita.
Primera visita y diagnóstico sin compromiso.
La prevención es nuestro mejor tratamiento
Financiación gratuita y sin intermediarios.
Clínica concertada con seguros dentales.
Solicite ahora su consulta gratuita
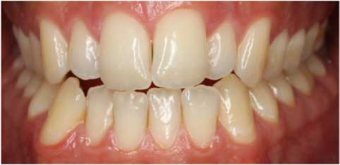
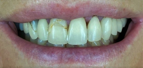
CASOS DE ÉXITO
Historias reales, resultados visibles
En Clínica Dental Feito Bárcena te mostramos casos antes y después que avalan nuestro compromiso con la salud, la estética y la confianza de cada paciente.
Blanqueamiento

Rehabilitación corona

Blanqueamiento

Nosotros
Comprometidos con tu sonrisa
El objetivo de la Clínica Dental Feito Bárcena es desarrollar una relación de confianza y compromiso con nuestros pacientes ofreciéndoles la mejor calidad humana. Un trato personalizado, honesto y sin dejar nunca de lado nuestra ética profesional.
La comunicación con el paciente es una parte esencial en nuestro trabajo. Porque creemos que la salud oral debe estar “en boca de todos”, en Clínica Dental Feito Bárcena empleamos procedimientos de alta calidad para cuidar tu sonrisa de la forma menos invasiva posible, tratando de acercarnos siempre a la prevención.
Saber más
BLOG
Consejos y novedades para cuidar tu sonrisa
En nuestro blog te ofrecemos artículos prácticos y actualizados sobre prevención, tratamientos y bienestar oral. Nuestro objetivo es mantenerte informado para que tomes las mejores decisiones sobre tu sonrisa con confianza y seguridad.
Cómo detectar a tiempo los problemas de encías
Las encías son una parte fundamental de la salud oral y, sin embargo, a menudo pasan desapercibidas hasta que presentan molestias. Detectar a tiempo los problemas de encías es clave para prevenir complicaciones mayores como la periodontitis o la pérdida dental. En este artículo te contamos las señales más comunes y cómo actuar a tiempo.









